Исправление дистального прикуса лингвальными брекетами в сочетании с аппаратом Гербста – Михаил М.
Проблема: к ортодонту О.А. Барановой обратились родители с мальчиком-подростком. Мальчика беспокоили выступающие передние зубы. Зубы выступали настолько сильно, что рот не закрывался, только с большим усилием подросток мог сомкнуть губы. При этом носить брекеты он стеснялся и хотел, чтобы исправление прикуса было незаметно для окружающих.
Решение: проведено ортодонтическое лечение с использованием лингвальной брекет-системы Incognito и аппарата Гербста. В результате лечения получен правильный прикус и ровные зубы.
Консультация ортодонта, углубленная диагностика и планирование лечения
На первой консультации ортодонт Баранова О.А. провела осмотр, выслушала пожелания родителей и самого пациента и рассказала, как с помощью ортодонтического лечения можно исправить неправильный прикус.
Так как подросток дышит только ртом, и, вследствие этого, рот постоянно приоткрыт, на зубы не оказывается правильного давления со стороны губ, поэтому верхние фронтальные зубы выдвинулись вперед. Ортодонтическое лечение исправит ситуацию, но если не устранить провоцирующее ортодонтические нарушения ротовое дыхание, то после окончания лечения ситуация может вернуться.
В «ОРТОДОНТ-ПРОЕКТЕ Ольги Барановой» проблему решают комплексно, чтобы результаты ортодонтического лечения были стабильными. Так как ЛОР проблем уже нет, и ничего не препятствует носовому дыханию, кроме привычки, потребуется посещение логопеда, который обучит подростка носовому дыханию, покажет упражнения для нормализации мышечного тонуса щек и губ. Ортодонт, со своей стороны, проведет исправление прикуса, сделает зубы ровными.
При имеющемся нарушении прикуса недостаточно изменить только положение зубов, а требуется еще и выдвинуть нижнюю челюсть, занимающую неправильную позицию в черепе, вперед. Для этого можно использовать аппарат Гербста, функцией которого является удержание нижней челюсти в выдвинутом положении постоянно, в результате чего мышцы перестраивают свою работу, ремоделируется В.Н.Ч.С. и правильное положение челюсти остается навсегда, особенно, если лечение проходит в подростковом возрасте, и с устранением причин и последствий проблемы, приведшей к неправильному прикусу.
Чтобы лечение проходило незаметно, ортодонт О.А.Баранова предложила лингвальные брекеты «Инкогнито».
Модификация аппарата Гербста, созданная для использования с брекет-системой Incognito, имеет компактные размеры и не вызывает неудобств при ношении.
Комплекс мер: восстановление носового дыхания, нормализация типа глотания и положения языка в покое, изменение положения нижней челюсти и создание правильных контактов между верхними и нижними зубами, создаст основу стабильности исправленного прикуса.
Так как пациент согласился на ортодонтическое лечение, он был направлен на углубленную диагностику, включающую ОПТГ, ТРГ в боковой проекции, фотометрию, изготовление контрольных моделей челюстей, консультации у смежных специалистов (логопед-психолог, остеопат).
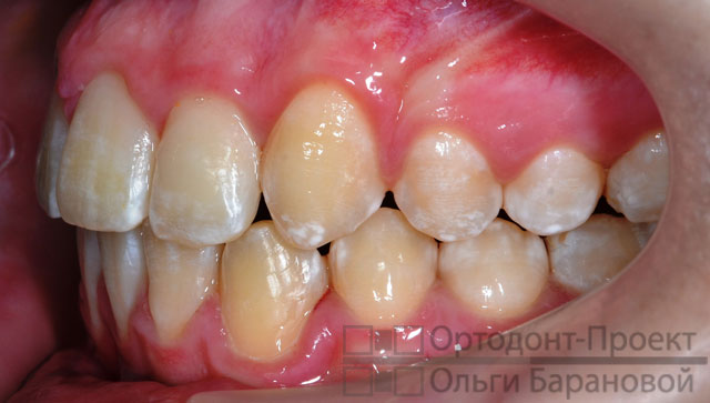
Фотометрия до ортодонтического лечения:
По результатам диагностики ортодонт составила план лечения.
Диагноз ортодонта: глубокий дистальный прикус, сужение и удлинение верхнего зубного ряда, сужение нижнего зубного ряда.
С зубов сняты высокоточные слепки, которые отправлены в лабораторию в Германии, где изготавливают индивидуальную брекет-систему Incognito. Во время ожидания брекет-системы (это около 3 месяцев) подросток посетил логопеда Цукор Т.Б., получил комплекс упражнений и начал учиться носовому дыханию.
Первый этап – лечение брекетами Инкогнито
Лингвальные брекеты Инкогнито зафиксированы на внутренней поверхности зубов. С лингвальными брекетами соблюдение гигиены рта проще, что особенно важно у подростков. Брекет-система Инкогнито наиболее современная брекет-система, использующая передовые технологии, поэтому она дает предсказуемый результат и позволяет справиться с любой ситуацией.
Несмотря на сильное выступание передних зубов брекеты незаметны.
Подросток посещал ортодонта каждые 1,5-2 месяца. Так как использованы возможности роста организма (возраст 11-13 лет наиболее благоприятный для проведения ортодонтического лечения), все процессы перемещения зубов происходят быстрее и легче для пациента. Выравнивание зубов становится заметно уже через пару месяцев.
Через 7 месяцев зубы стали значительно ровнее:
На правой фотографии видно, что при закрытии промежутка между центральными резцами "защемился" десневой сосочек. В связи с этим была проведена лазерная коррекция десневого сосочка. Хирург - Якименко И.И.
Лазерная коррекция делается в одной клинике, где пациент проходит ортодонтическое лечение. Наличие всех нужных специалистов в одном месте очень удобно для пациентов, так как экономит силы и время.
Второй этап – применение аппарата Гербста
После нормализации формы зубных рядов приступили к работе с прикусом. Брекет-система поставленные задачи выполнила, а для выдвижения нижней челюсти на зубах закреплен аппарат Гербста. Два телескопических шарнира закреплены к специальным кольцам на жевательных верхних зубах и нижних клыках. Штанги, закрепленные за эти шарниры, удерживают нижнюю челюсть в переднем положении. Аппарат Гербста для брекет-системы Инкогнито миниатюрен и не мешает жевать или говорить.
С аппаратом Гербста нижняя челюсть выдвигается вперед сильнее, чтобы перестроить работу мышц. Постепенно челюсть становится в нужное положение, чуть сдвигаясь назад.
Достаточно быстро становится заметно положительное изменение прикуса:
Аппарат Гербста был на зубах в течение 12 месяцев. Посещение ортодонта - один раз в 2 месяца.
Окончательная коррекция зубных контактов
После стабилизации нового положения нижней челюсти ортодонту необходимо добиться максимально плотного смыкания всех зубов. Для этого ортодонт назначила ношение ортоэластика – специального эластичного колечка. Для закрепления ортоэластика на передние зубы установлены почти невидимые ортодонтические кнопки.
Особенностью брекет-системы Incognito является точность получаемого в итоге результата, который был заранее смоделирован на компьютере, поэтому достаточно часто ношение эластиков для создания межзубных контактов в боковых группах зубов не требуется.
Результат лечения
Лечение продолжалось 23 месяца. Результатом лечения стало исправление прикуса, создание ровных зубных рядов, гармонизация черт лица, обучение подростка правильному носовому дыханию, чтобы избежать рецидива.

ДО и ПОСЛЕ
Успешность лечения особенно очевидна, если сравнить вид зубов до и после лечения:
Стоимость ортодонтического лечения с учетом стоимости лингвальных брекетов Инкогнито и аппарата Гербста, а также занятий с логопедом - 537600 рублей.
Другие примеры ортодонтического лечения смотрите тут.

