Исправление глубокого прикуса
Проблема: в «ОРТОДОНТ-проект Ольги Барановой» обратилась девушка-подросток с пожеланием исправить криво растущие зубы.
Решение: ортодонт Баранова О.А. предложила использовать преимущество пика роста, когда все изменения в организме происходят быстрее. Благодаря своевременно проведенному лечению и опыту ортодонта не потребовалось долгое и дорогостоящее лечение у нейромышечного стоматолога, а также обошлись без применения аппарата Гербста. Лечение выполнено с помощью ортодонтической пластинки Корна и брекетов Damon.
Консультация у ортодонта, диагностика
На консультации стоматолог-ортодонт Баранова О.А. выявила неправильный прикус, обусловленный задним положением нижней челюсти, сужение верхнего и нижнего зубных рядов, неправильный поворот некоторых зубов, смещение косметического центра на нижней челюсти. Все эти проблемы можно исправить с помощью ортодонтического лечения. Возраст пациентки (14 лет 6 месяцев) наиболее благоприятен для начала ортодонтического лечения, так как организм находится в пике роста. В этот период все процессы в организме происходят быстрее, и ортодонтическое лечение проходит легче и эффективнее. Опыт ортодонта Барановой О.А. показывал, что лечение возможно без использования аппарата Гербста, который обычно применяют при подобных нарушениях прикуса для выдвижения нижней челюсти, а также без лечения у нейромышечного стоматолога. Так как ортодонтическое воздействие в пике роста очень эффективно, для разблокировки нижней челюсти подойдет ортодонтическая пластинка Корна, что позволит значительно снизить затраты на лечение.
Примерный срок лечения 1,5-2 года.
Предложенное исправление прикуса понравилось пациентке, и она прошла углубленную диагностику, чтобы врач-ортодонт составила подробный план лечения. В углубленную диагностику входит фотометрия, расчет снимков ТРГ и ОПТГ, расчет моделей челюстей. В комплексной диагностике принимают участие стоматолог, остеопат и логопед-психолог.
Диагноз ортодонта: ротация 35, 34, 44, 45 зубов. Сужение нижнего зубного ряда, сужение и укорочение верхнего зубного ряда. Глубокая резцовая окклюзия, смещение нижнего косметического центра вправо, дистальная окклюзия.
Исходная ситуация:

План ортодонтического лечения
Для разблокировки глубокого прикуса будет использована пластинка Корна, закрепляемая на верхней челюсти. При помощи этого простого ортодонтического аппарата, изобретённого доктором Корном, достигается расслабление мышц нижней челюсти, а также ношение пластинки предотвращает скусывание нижних брекетов. Пластинка изготавливается индивидуально по слепкам в зуботехнической лаборатории. Аппарат Гербста, а тем более операция по исправлению прикуса, в данном случае не нужны, так как использование преимуществ пика роста и правильно подобранная ортодонтическая аппаратура, смогут полностью исправить прикус.
С поворотом неправильно растущих зубов отлично справятся брекеты Damon, которые используют малые силы, но при этом непрерывно воздействуют на зубы, эффективно перемещая их в правильное положение. Чтобы окружающие обращали меньше внимания на процесс лечения, на верхние зубы будут установлены брекеты Damon Clear. Брекеты Damon Clear относятся к эстетическим брекетам, они совпадают по цвету с цветом зубов, поэтому практически незаметны при общении.
Смещение косметического центра устранится в процессе лечения за счет нормализации положения нижней челюсти.
Начало лечения у ортодонта
По слепкам с зубов пациентки в зуботехнической лаборатории «Диал-Дент» изготовлена ортодонтическая пластинка Корна. На фотографии представлен её образец:
Ортодонтическая пластинка Корна закрепляется при помощи кламмеров (крючков) над брекетами на жевательных зубах. В начале ношения может немного измениться дикция, но через несколько дней язык привыкает к изменению рельефа нёба, и пластинка не вызывает неудобств. Пластинку легко снять для проведения гигиены. Для чистки пластинки можно использовать любую неабразивную пасту (например, гелевую) и обычную зубную щетку.
На зубах зафиксированы брекеты Damon, на верхней челюсти установлена ортодонтическая пластинка Корна.


Наружные брекеты Damon имеют небольшие размеры и сглаженные края. Пациентка быстро привыкла к брекетам и не стеснялась их, так как выглядят брекеты очень эстетично.
Ортодонтическое лечение
Пациентка приходила на прием к ортодонту каждые 1,5-2 месяца для наблюдения и коррекции лечения.
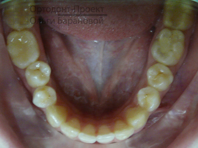
Через 10 месяцев после начала лечения зубы выровнены по дуге и развернуты в правильное положение. Нижняя челюсть установилась в правильное переднее положение. Устранено смещение нижнего косметического центра.
Специальные эластичные тяги (ортоэластики) создают физиологичные контакты между зубами. Прочные межзубные контакты будут удерживать нижнюю челюсть в правильном положении, не давая ей сместиться назад. Со временем это положение станет привычным для мышц, а правильный прикус останется навсегда.
Результат ортодонтического лечения и ретенция
Благодаря знаниям и опыту ортодонта Барановой О.А. и использованию наиболее благоприятного для ортодонтического лечения периода, пациентка избежала не только операции по исправлению прикуса, но и её альтернативу - длительного лечения с помощью аппарата Гербста. Также не потребовалось дорогостоящее лечение у нейромышечного стоматолога. Все проблемы устранены при помощи правильно подобранной аппаратуры, благодаря точным расчетам врача-ортодонта.
Фото после лечения у ортодонта:


Исправление глубокого прикуса сделало профиль более гармоничным, так как увеличилась высота нижней трети лица. Сравните профиль до и после лечения:
Ретенционный период – это последний этап ортодонтического лечения, наступающий после снятия брекетов. Он необходим для закрепления результатов лечения. Длительность ретенционного периода составляет несколько лет.
Для закрепления нового положения нижних фронтальных зубов на нижнюю челюсть был закреплен несъемный ретейнер (на центральные зубы от клыка до клыка с внутренней стороны), а на верхнюю челюсть, только на ночь, будет надеваться съемная ретенционнная каппа. Посещение ортодонта в этот период – каждые 3- 6 месяцев.
Продолжительность ортодонтического лечения составила 1 год и 5 месяцев.
Стоимость ортодонтического лечения, включая стоимость аппаратуры - 214500 рублей.
Другие примеры ортодонтического лечения для исправления глубокого прикуса смотрите тут.