Проблема: молодая девушка обратилась к ортодонту О.А. Барановой по причине криво растущего зуба на верхней челюсти. Также девушка жаловалась на затруднение открывания рта и боль в височном суставе.
Решение: проведено комплексное ортодонтическое лечение с участием ортодонта, нейромышечного стоматолога и остеопата. В результате лечения исправлен прикус, устранены боли в ВНЧС, рот стал открываться свободно.
Консультация перед лечением, диагностика
Врач-ортодонт О.А. Баранова провела консультацию, на которой осмотрела пациентку, выслушала ее жалобы и рассказала о возможных способах устранения ортодонтических проблем, приблизительных сроках и стоимости, и о комплексном подходе, который применяется в «ОРТОДОНТ-ПРОЕКТЕ Ольги Барановой».
Со слов пациентки: жалобы на боли, щелчки в области ВНЧС справа, периодические боли в области правого уха, затруднённое, болезненное открывание рта.
В комплексной диагностике принимали участие ортодонт, нейромышечный стоматолог и остеопат, чтобы выяснить причины болей в ВНЧС (височно-нижнечелюстном суставе) и разработать совместный план лечения для устранения как причины проблемы, так и последствий.
Пациентка прошла диагностику до начала лечения: проведена фотометрия, сделана ТРГ в боковой проекции для ортодонтических расчётов и панорамный снимок зубов, сняты слепки, изготовлены гипсовые модели челюстей, проведена остеопатическая диагностика.
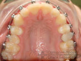
Исходная ситуация:
Диагноз ортодонта Барановой О.А.: нёбное положение 15 зуба, скученность фронтальной группы зубов нижнего зубного ряда. Сужение и укорочение верхнего и нижнего зубных рядов. Прямая окклюзия в области 22-го, палатокклюзия в области 15-го. Смещение верхнего косметического центра вправо. Мезиальная окклюзия в области 13-го, 14-го. Скелетный класс-3. Дисфункция В.Н.Ч.С.
Диагноз остеопата Попова А.И.: центр тяжести перемещён вправо с опорой на правую нижнюю конечность. При общем прослушивании область максимального фасциального напряжения совпадает с правой стороной черепа и правым надплечьем.
Диагноз нейромышечного стоматолога Галеева А.В.: дисфункция ВНЧС и жевательных мышц.
Разработка плана лечения
По результатам углубленной диагностики составлен план лечения, в котором скоординированы действия нескольких специалистов:
- Нейромышечный стоматолог Галеев А.В. проводит анализ работы мышц и движения нижней челюсти с помощью компьютерного миографа. Затем определяется мышечно-скелетно-стабильное положение нижней челюсти, которое наиболее физиологично для височно-нижнечелюстного сустава и шеи. Это положение фиксируется с помощью специальной накладки для зубов – сначала съёмного, а затем и несъёмного ортотика. Ношение ортотика перенастраивает работу мышц, удерживающих нижнюю челюсть в правильном положении, и отвечающих за её движения.
- Остеопат Попов А.И. проводит коррекцию всего организма для адаптации к изменившемуся положению нижней челюсти, что влияет на осанку, нейтрализует повышенное напряжение в костях черепа и перенапряжение в лицевых мышцах и мышцах шеи.
- После закрепления правильного положения нижней челюсти за счёт изготовления несъёмного ортотика и нормализации работы мышц, ортодонт Баранова О.А. проводит лечение брекетами для выравнивания зубов и создания физиологичных межзубных контактов.
Комплексное ортодонтическое лечение
Согласно плану лечения, сначала пациентка посещала нейромышечного стоматолога с остеопатом. В «ОРТОДОНТ-ПРОЕКТЕ Ольги Барановой» эти два специалиста в таких случаях всегда ведут пациента вместе.
Описание работы нейромышечного стоматолога
Была проведена компьютерная диагностика. Позиция нижней челюсти зафиксирована в точке 1 и при максимальном расслаблении мышц.

Дисбаланс височных и жевательных мышц слева и справа составил 30%

Траектория движения нижней челюсти до лечения:

Явно видно смещение нижней челюсти влево в самом начале открывания рта. Смещение составляет 8,8 мм. Судя по характеру открывания рта диск правого ВНЧС находится в смещенном состоянии и препятствует открыванию. Кроме того, в конце фазы открывания рта происходит подвывих головок ВНЧС (т.е. головка сустава выходит за пределы суставной ямки).
Изготовлен съемный ортотик. В период ношения ортотика (3 месяца) пациентка посещала нейромышечного стоматолога для проведения чрезкожной электронейростимуляции (пришлифовка по TENS). Постепенно снижались болевые ощущения в ВНЧС, пациентка отметила, что стала легче открывать рот.
Остеопат
Остеопат проводил адаптационную коррекцию всего организма в течение всего нейромышечного воздействия.
После закрепления положения нижней челюсти в нейромышечной позиции несъёмным ортотиком (показан стрелочками на фото зубов с брекетами) начали лечение брекетами.
Лечение брекетами
На подготовленные профессиональной чисткой зубы были зафиксированы металлические брекеты Damon. Брекет-система Damon выбрана за ее свойство самолигирования, которое обеспечивает минимальное трение и воздействие на зубы малых сил. Это обеспечивает наиболее физиологичное передвижение зубов и делает результат ортодонтического лечения стабильным.
Брекет-система Damon на зубах (стрелочками показан несъемный ортотик):
Для постановки в ряд зуба, который растет внутри, установлена специальная пружина, раздвигающая соседние зубы для создания необходимого пространства и возвращающая верхний зубной центр на место.
Пациентка посещала ортодонта каждые 1,5-2 месяца.
На фотографиях видно, что 15-й зуб встал в зубной ряд.
На 1-ом этапе коррекции ортодонта выполнено следующее:
- создано место для 15-го зуба;
- выровнены все зубы, включая постановку в зубной ряд 15-го;
- нормализована форма зубных рядов.
После этого ещё раз была проведена уже окончательная работа нейромышечного стоматолога и остеопата по устранению основных жалоб пациентки, которая заняла ещё 3 месяца.
Затем постепенно снимали ортотик и стягивали зубы ортодонтическими эластиками, контролируя при этом ответную реакцию организма, В.Н.Ч.С. в частности.
После снятия брекет системы ортотик (показан стрелочками) остался на 37-м и 47-м зубах ещё на 1,5 месяца.
Через 1,5 месяца ортотик с 37-го и 47-го зубов был снят, и зубы были стянуты ортодонтическими эластиками до окклюзионных контактов.
Результат лечения
Через два года достигнут результат комплексного лечения: зубы стоят ровно, прикус нормализован, никаких отрицательных ощущений в области ВНЧС нет.
В результате комплексного лечения дисбаланс работы жевательных мышц был устранен.
Траектория открывания рта после снятия брекетов:
Траектория движения нижней челюсти сбалансирована. Подвывих ВНЧС устранен. Боковых отклонений открывания рта нет (в пределах 0,5 – 1,8 мм).
И, как следствие, достигнуто устранение основных жалоб – болей, затруднённого открывания рта и щелчков в области ВНЧС.
Фотометрия после окончания лечения:
25-й зуб пока с ортотиком, потом он был восстановлен постоянной коронкой в нейромышечном прикусе, так как он требовал ортопедического восстановления.
После исправления прикуса профиль лица стал более гармоничным.
Стоимость лечения у нейромышечного стоматолога – 192000 рублей, стоимость ортодонтического лечения включая брекет-систему Damon – 200500 рублей, один сеанс у остеопата – 4000 рублей (цены приведены на момент лечения).
Другие примеры ортодонтического лечения смотрите тут.