Исправление глубокого прикуса
Ситуация: проблема, с которой пациентка обратилась в стоматологическую клинику, заключалась в нарушении эстетичного внешнего вида и повышенной чувствительности зубов. Из-за неправильного глубокого прикуса, зубы были подвержены постоянному патологическому истиранию и сильно сточились. В височно-нижнечелюстном суставе нижней челюсти были слышны щелчки, а также нижняя челюсть смещалась при движении( девиация). Ортодонт О.А. Баранова имеет большой опыт в исправлении подобных случаев, поэтому пациентка была направлена к ней на консультацию.


Итог: производилось комплексное лечение остеопатом, нейромышечным стоматологом , ортодонтом и ортопедом. Была произведена необходимая подготовка для ортодонтического лечения.
Диагностика
Основным запросом пациентки было восстановление красивой улыбки. Для достижения поставленной цели необходимо решить сопутствующие проблемы. На зубы сильно повлиял постоянный спазм жевательных мышц, который привел к глубокому прикусу. Из-за удаления 35-го зуба освободилось межзубное пространство, которое поспособствовало смещению зубовного ряда. Следствием этих аномалий стала дисфункция височно-нижнечелюстного сустава.
В клинике «Ортодонт-проект» применяется подход индивидуальной комплексной коррекции. Он включает в себя консультации, диагностики и лечения сопутствующих специалистов. В зависимости от случая к ним могут относиться остеопат, нейромышечный стоматолог, миофункциональный терапевт, психолог. Использование такого метода позволяет исправить причины, приведшие к возникновению аномалий прикуса, которые невозможно вылечить только корректирующим аппаратом. Например, для достижения стабильного результата необходимо скорректировать работу мышц и суставов, снять мышечное напряжение и исправить положение нижней челюсти. Чтобы выстроить план лечения, проводится полная диагностика всех вышеперечисленных специалистов, которую анализирует и расшифровывает врач-ортодонт.
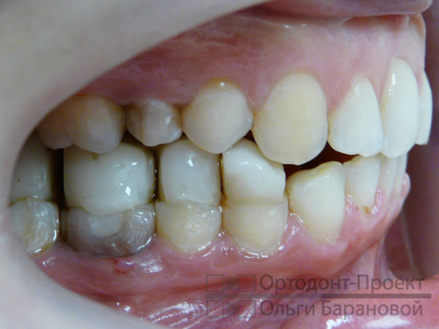
Исходное состояние:













На фотографиях можно увидеть изначальное положение зубов и снимок КТ:




Заключение ортодонта:
глубокая резцовая окклюзия, адентия 35, бруксизм, повышенная стираемость зубов, левосторонняя дисфункция ВНЧС, смещение средней линии на нижней челюсти влево. Необходимость в установке брекет-системы и последующем протезировании.
Заключение остеопата:
нисходящий тип остеопатических нарушений, т.е это такой тип , который первоначально связан с взаиморасположением костей черепа и покрывающей их твёрдой мозговой оболочкой.
Заключение нейромышечного стоматолога:
дисфункция жевательных мышц и ВНЧС.
Процесс лечения
Перед началом корректировки прикуса брекет-системой необходимо пройти подготовку. В нее входит профессиональная чистка зубов, остеопатическая подготовка. Также, на протяжении всего процесса врач-остеопат будет отслеживать изменения в организме и помогать ему адаптироваться к меняющемуся положению нижней челюсти и высоте прикуса. Было решено расширить зубной ряд, для восстановления удаленного 35 зуба и поставить на сточенные зубы коронки.
Нейромышечный стоматолог
Перед установкой брекетов, А.В. Галеев применил миограф для оценки мышечной работы челюстей. В помощь нижней челюсти, была изготовлена окклюзионная шина (ортотик) для восстановления физиологического смыкания зубов. Позднее, для восстановления естественной высоты и формы зубного ряда были установлены коронки на стершиеся зубы. Необходимые для этого расчеты проводятся нейромышечным стоматологом, который также занимается коррекцией дисфункции ВНЧС.
Наблюдение специалиста необходимо на протяжении всего периода лечения для нормализации положения челюсти, снятия напряжения и расслабления челюстно-лицевых мышц с помощью необходимой техники.
На снимке видно, к каким положительным изменениям привела нормализация высоты прикуса:

Ортодонт
В этом случае врачом-ортодонтом была предложена самолигирующие брекеты Damon. Этот вид брекет-систем позволяет сократить время лечения и количество посещений во время коррекции. Процесс коррекции начался с установки системы на верхнюю челюсть, чтобы строилась правильная форма зубного ряда.



На нижней челюсти продолжалось исправление высоты и смыкания зубов ортотиком в течении 9 месяцев. После этого на нижний ряд также был установлена корректирующая брекет-система . Также нейромышечный стоматолог прикрепил несъемный ортотик для удержания высоты. Чтобы освободить место для импланта 35 зуба, были установлены раздвигающие пружины.





Спустя 4 месяца после установки брекетов на нижнюю челюсть было отмечено уменьшение щелчков в области ВНЧС.





Полный курс коррекции брекет-системой с несъёмным ортотиком занял 1 год и 9 месяцев. За это время удалось достигнуть поставленной цели. Прикус был исправлен, место для импланта освобождено.
Но стоматологическое лечение на этом не закончилось. Следующим этапом была установка импланта 35-го зуба хирургом-имплантологом В.П. Алавердовым.





Для закрепления результатов, пациентка продолжала носить несъемный ортотик. Следующее, что было сделано – установлены коронки на сточенные зубы верхней и нижней челюсти. Предварительно были произведены необходимые расчеты для точного подбора высоты коронок.
На фото можно увидеть конечный результат (в лечении также участвовали стоматолог-ортопед А.С.Иваньков и зубной техник Д.В. Волк):











Применение комплексного метода лечения, в котором принимают участие специалисты разных профилей, позволяет всесторонне оценивать ситуацию, грамотно проводить коррекцию и достигать стабильных результатов. Индивидуальный подход к ситуации пациента и полный комплекс необходимых исследований и консультаций дает возможность достигать поставленных целей.
Потрясающая улыбка довольной пациентки – самый лучший результат:

Разбор стоимости лечения:
• Лечение нейромышечного стоматолога – 250000 рублей
• Ортодонтическое лечение с применением брекет-системы – 271500 рублей
• 10 сеансов у остеопата – 40000 рублей
• Имплантация (AstraTech) – 38900 рублей
• 20 керамических коронок – 516000 рублей
С момента начала процесса до достижения всех поставленных целей, включая протезирование, прошло 2 года и 4 месяца.
Проводить такую сложную комплексную стоматологическую работу возможно только, благодаря слаженной работе всех специалистов. В клинике «Ортодонт-проект» есть уникальная возможность получить комплексное лечение специалистами, работающими в Семейном стоматологическом центре «Диал-дент», на базе которого она существует. Пациенты клиники получают качественное лечение высококвалифицированными специалистами с многолетним стажем и большим опытом в разрешении даже самых сложных ситуаций. С каждым пациентом оговаривается индивидуальный план, предлагаются разные варианты и составляется персональный проект. Многие пациенты оценили возможность получения всех услуг, консультаций и диагностик в одной клинике Москвы.
Врачи стоматологического центра «Диал-дент» заботятся не только о настоящем, но и о будущем здоровье своих пациентов. Поэтому раз в полгода каждому прошедшему лечение в клинике, предлагается пройти профилактический осмотр и чистку зубов, что очень важно для соблюдения гигиены полости рта, профилактики кариеса и здоровья десен. И так же получается, что каждые полгода специалисты клиники проверяют состояние комплексной работы, проведённой у каждого конкретного пациента.
Другие примеры ортодонтического лечения от специалистов «ОРТОДОНТ-ПРОЕКТА Ольги Барановой» смотрите тут.