Ортодонт проект Ольги Барановой
г.Москва Кожевнический проезд д. 4/5, стр. 5 (м. Павелецкая)

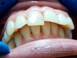
Проблема: в «ОРТОДОНТ-проект Ольги Барановой» обратилась девушка с жалобами на сильно выступающие неровные передние верхние зубы.




Решение: ортодонт Баранова О.А. провела ортодонтическое лечение. Для лечения использовались брекеты Damon и аппарат Гербста.




На консультации у ортодонта

На консультации ортодонт Баранова О.А. установила диагноз: скученность в переднем отделе верхнего зубного ряда, сужение и укорочение верхнего зубного ряда, глубокая резцовая окклюзия (глубокий прикус), дистальная окклюзия (нижняя челюсть сильно задвинута назад относительно верхней), лингвоокклюзия в области 37, 47.

Ортодонтическое лечение может исправить эти проблемы и сделать зубы ровными, а профиль более гармоничным, за счет увеличения нижней трети лица, путем исправления прикуса.

Для выравнивания зубов можно использовать различные брекет-системы.

Пациентке было рассказано об особенностях различных брекет-систем, примерной длительности ортодонтического лечения и стоимости.

Чтобы исправить глубокий дистальный прикус скелетной формы брекетов недостаточно. Надо изменить положение нижней челюсти. Это можно сделать несколькими способами:

В данном случае было выбрано исправление прикуса аппаратом Гербста.

Подготовка к ортодонтическому лечению

Были сняты слепки с челюстей и проведены все необходимые обследования, измерения и консультации с другими специалистами ОРТОДОНТ-проекта. Согласован план лечения - с использованием брекет-системы Damon и аппарата Гербста, составлена и утверждена смета лечения.



В подарок, по акции, перед фиксацией брекетов пациентке была проведена профессиональная чистка зубов методом Air Flow. Профессиональная чистка зубов является профилактической мерой для предупреждения развития кариеса в период ортодонтического лечения, так как гигиена зубов обычно становится хуже.

План лечения предполагал несколько этапов:

I этап - нормализация зубных рядов и выравнивание зубов с помощью брекетов;

II этап - ношение аппарата Гербста для исправления положения нижней челюсти;

III этап - окончательная коррекция форм зубных рядов и прикуса при помощи ортодонтических эластиков;

IV этап - ретенция - закрепление результатов ортодонтического лечения.

Нормализация форм зубных рядов- первый этап ортодонтического лечения

Для нормализации форм зубных рядов и положения отдельных зубов использовались вестибулярные металлокомпозитные брекеты Дэймон-3 на верхнюю челюсть и Дэймон-3MX на нижнюю челюсть.

Брекеты зафиксировали на зубах, после чего пациентка посещала ортодонта каждые 1,5-2,5 месяца для наблюдения и смены дуг. На 36, 35, 45, 46 зубах были зафиксированы ортодонтические накладки с целью коррекция лингвоокклюзии и предотвращения излишних межзубных контактов и повреждения аппаратуры.


Фото через 2 месяца после начала лечения:



Еще через 3,5 месяца были сделаны новые фотографии, отражающие процесс изменения положения зубов в результате ортодонтического лечения.



Через 8 месяцев после фиксации брекетов зубы стали значительно ровнее, зубные ряды приобрели хорошую форму:



Первый этап продолжался 13 месяцев.

Исправление прикуса - второй этап ортодонтического лечения

Использование аппарата Гербста для исправления прикуса стало альтернативой хирургическому вмешательству.

Аппарат Гербста - это несъемный ортодонтический аппарат. Он состоит из двух телескопических шарниров, которые прикрепляются на коронки, установленные на зубы верхней и нижней челюсти с каждой стороны. Аппарат удерживает нижнюю челюсть в нужном, выдвинутом вперед положении. За счет удержания челюсти в нужном положении, происходит ремодуляция области височно-нижнечелюстных суставов. Действие аппарата непрерывно, поэтому желаемый результат достигается достаточно быстро, а изменение профиля заметно сразу с момента фиксации аппарата Гербста на зубах.



Несмотря на кажущуюся громоздкость, аппарат Гербста сконструирован так, что пациенты к нему легко привыкают, а на зубах он не сильно заметен.

Аппарат Гербста пациентка носила 10 месяцев, посещая ортодонта каждые 2 месяца для наблюдения.

Завершающая коррекция форм зубных рядов и прикуса - третий этап ортодонтического лечения

Аппарат Гербста через 10 месяцев сняли.



На зубы, где были установлены коронки для аппарата Гербста, были зафиксированы брекеты. Проведена коррекция ортодонтического лечения.

Пациентка продолжала ходить с брекетами еще год. За это время окончательно выровнялись зубы и были достигнуты физиологичные контакты между противоположными зубами. Наблюдение у ортодонта продолжалось каждые 1,5 месяца.


Закрепление результатов ортодонтического лечения - четвертый этап

Закрепления результатов лечения происходит с помощью устанавливаемого на нижнюю челюсть несъемного ретейнера и съемной ретенционнной капы на верхнюю челюсть, которая надевается на ночь. Длительность периода ретенции индивидуальна, но обычно не менее 3 лет. Еще пациент носит двучелюстную эластичную каппу для профилактики рецидива по прикусу.



После ортодонтического лечения заметно изменилась высота нижней трети лица, что сделало профиль более гармоничным:


Продолжительность всего ортодонтического лечения (без ретенционного периода) составила 3 года.

Стоимость ортодонтического лечения – 218 580 рублей.

Пациентке рассказано о возможности эстетической коррекции передних зубов. Стоматолог «Диал-Дент» Борисова Ю.А. предлагает провести коррекцию края передних зубов материалом светового отверждения Estelite Sigma Quick (Япония) или установить на зубы керамические виниры для коррекции формы передних зубов.

Эстетическая коррекция не является обязательной, однако часто именно она делает улыбку совершенной. По желанию пациентки эстетическая коррекция может быть проведена в любое время.



Другие примеры ортодонтического лечения с использованием аппарата Гербста смотрите тут.

Записаться на прием
×

Оставьте свои данные